Je savais que le petit Serge devait subir une autre opération pour son œil dimanche dernier. Mes tentatives pour rejoindre Robert Kalindiza, son papa, ont échoué. Or, je reçois aujourd’hui un courriel m’annonçant que l’opération n’a pas eu lieu. Les médecins craignent qu’une telle intervention chirurgicale ait des conséquences néfastes bien que la première opération ait été réussie.
Aux dires de Robert, il semble que ce problème difficilement détectable soit relié au cerveau. Les médecins américains qui ont étudié son cas vont poursuivre leur investigation en présentant ce cas à des collègues aux États-Unis. Ils ont insisté pour que les parents gardent espoir en se confiant à Dieu. Ceci dit, même là-bas, une telle opération s’avère très difficile.
Les parents sont découragés après tant d’effort déployé depuis janvier dernier. Le petit Serge ne comprend pas très bien ce qui se passe même si les parents essaient de le lui expliquer. Encore heureux que l’enfant soit encore vivant.
Les parents demandent pardon à tous les bienfaiteurs qui les ont soutenus par leur prière et financièrement. Ils ont fait de leur mieux. Aussi, d’autres besoins sont à combler; réparation de la voiture, frais de logement et frais scolaires pour le petit Serge et son plus petit frère Lorent.
Je peux vous certifier que l’argent envoyé à cette famille a été proprement utilisé. Merci à vous tous qui avez manifesté tant d’intérêt pour celle-ci. En ce qui me concerne, je n’ai plus grand-chose dans mes poches pour les aider. Je sollicite une nouvelle fois votre générosité. La demande du papa est de $700 US. Vous pouvez communiquer avec ma petite maman ou me rejoindre par courriel.
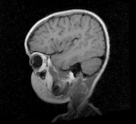
Au bas, vous trouverez le message de Robert Kalindiza tel que je l’ai reçu. Il y a aussi quelques photos, plutôt de mauvaise qualité, qui accompagnent la petite vidéo.
Cliquer sur cette image pour voir la vidéo.
Message du papa :
“The doctors failed to come up with a solution. They said the case is complicated and that they cannot dare repairing him for fear of lifetime disturbance.”
After all the effort we made since January, all the scans and diagnosis and the surgery that my son underwent, American doctors have ruled out that he should not go through any type of surgery. And they said we are lucky that the first surgery was successful but the case of Serge is complicated. The problem starts in the brain but it was very difficult to identify it. But the equipment that they brought from America revealed all the problems.
They said they will take his case to the USA for consultation and we should live with hope that one day things will be better. In God we should trust.
They even told us that even in America it will be very difficult to fix the kind of the problem.
We are discouraged. Serge is innocent. He does not know what is going on. He has gone through difficult situations. Thank God he survived. This time we tried to prepare his mind for the surgery but.
Sorry for all the effort that you have made with your family and friends to put back the life of my son back to normal, but it’s beyond our control.
My phone is failing to upload some photos that I took at the hospital, showing different doctors coming in turn to see Serge but all did not work.
But still may God continue to bless you. We are who we are because of you. Please do not turn your face away from us. We will not survive without you.
Please help us (700 dollars US). We are in dare need of it. We need to repair the car, rent and soon the children (Serge and Lorent) are opening school and we need to help them. Soon the better as per your wish.
See above all the photos of his brain and Doctors who tried their best to help Serge.






























